흔히 일상생활에서 스트레스를 받거나 컴퓨터의 장시간 사용, 무리하는 경우 뒷목이 뻐근하거나 강직되는 것을 느낄 수 있다. 목의 건강은 척추신경과 밀접한 관련이 있어 신체 전반에 많은 영향을 끼칠 수 있다.

목디스크는 경추 뼈 사이에 위치해있는 디스크가 탈출되면서 주변에 위치한 근육, 신경을 압박해 증상을 유발하는 질환이다. 몇 년 전까지만 하더라도 노화가 주요 원인인 퇴행성 질환이었지만 현재는 운동부족, 잘못된 자세로 인한 불균형 등으로 인해 젊은 목디스크 환자들의 발병률이 높아지고 있다.

목디스크 초기증세는 목 통증과 방사통이다. 어깨와 등의 통증으로 담이나 오십견으로 생각하여 파스나 찜질로 해결하려는 경우가 많다. 하지만 이를 단순한 근육통으로 생각하여 방치하다가 치료시기를 놓치게 되면 목부터 어깨 등 주변 부위의 방사통을 시작으로 팔, 손가락 운동 기능에 까지 문제가 생길 수 있다.

초기인 경우 무리한 수술치료 보다는 디스크의 압박 부위를 감압시키고, 긴장된 근육을 이완시킬 수 있는 재활치료가 효과적이다. 재활치료 장비 중 하나인 MedX를 이용한 재활치료는 목 주변의 근력을 향상시키고, 짧은 기간 내 최대의 치료효과를 기대할 수 있다. 통증 완화뿐만 나이라 근육의 밸런스와 심부 근육을 강화시키는 데도 뛰어난 치료이기 때문에 수술적 치료에 대해 부담을 느끼는 환자들에게 매우 적합하다.

하지만 계속해서 재발되거나 목디스크로 인하여 손가락에 힘이 빠지거나, 팔 저림증상이 나타났다면 수술적 치료를 통해 탈출된 디스크를 제거하여 압박/손상된 신경을 풀어주어야 한다.

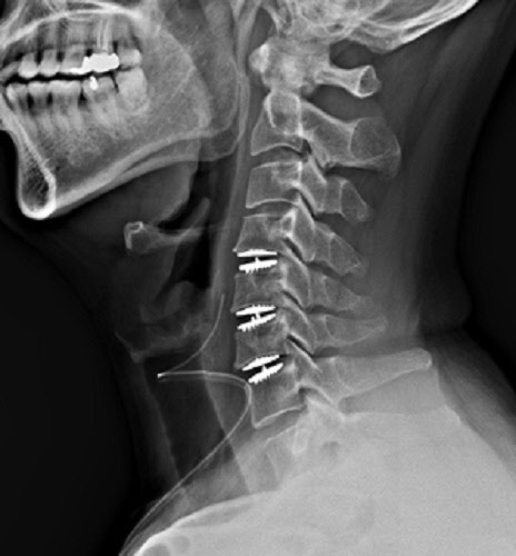
인공디스크는 손상된 디스크를 완전히 제거하고 그 자리에 환자에게 맞춤제작 된 인공디스크를 삽입하는 수술방법으로 실제 디스크처럼 부드럽고 자유롭게 움직일 수 있는 효율적인 수술방법이다.

인공디스크 수술방법은 국소 마취 후 3~4cm가량 절개 후 미세현미경을 통해 병변 부위를 실시간으로 확인하며 손상된 디스크, 뼛조각 등을 제거한 후 인체공학적으로 설계된 최적화 인공디스크를 삽입하는 방식으로 이루어진다.

수술 후에도 본래의 디스크처럼 자유롭게 움직이기 때문에 퇴행성 변화가 가속화될 가능성이 적으며, 최소 절개로 진행되어 안전하고 회복이 빠른 것이 장점이다.

(도움말 : 양재역 강남베드로병원 윤강준 대표원장)

cskim@dt.co.kr

[저작권자 ⓒ디지털타임스 무단 전재-재배포 금지]

기사 추천

  • 추천해요 0
  • 좋아요 0
  • 감동이에요 0
  • 화나요 0
  • 슬퍼요 0